Robotic joint replacement - Dr Hrushikesh Saraf|Dr. Saraf's Joints Clinic|Karve Road ,Pune

Robotic Joint Replacement surgery

Dr Hrushikesh Saraf does Robotic Joint/Knee Replacement sugery by using the robotic technology that helps precise implantation of joint with benefits ...

Robotic Knee Replacement Training USA|Dr. Saraf's Joints Clinic|Karve Road ,Pune

Robotic Knee Replacement Training USA

Robotic knee replacement or unicondylar (partial) knee replacement adds to precision in surgery. Currently, in the USA,  training is conducted in th...

Dr. Saraf's Joints Clinic|Karve Road ,Pune

Story of Mr .Vitthalrao payghan by Dr. Hrushikesh Saraf

Mr .Vitthalrao payghan , 68yr old male patient, a farmer by occupation with severe deformity both lower limbs -knee joint leading to disability to wal...

Invitation Card|Dr. Saraf's Joints Clinic|Karve Road ,Pune

Robotic Assisted Joint Replacement Center Inauguration in Pune

Inauguration of Robotic Assisted Joint Replacement Center in Pune.You all are cordially invited for Grand opening of Robotic Assisted Joint Replacemen...

Knee replacement surgery using robot by Dr Hrushikesh Saraf|Dr. Saraf's Joints Clinic|Karve Road ,Pune

Knee replacement surgery using robot by Dr Hrushikesh Saraf

Knee replacement surgery by Robot only at Shashwat Hospitals Kothrud, Pune by Dr Hrushikesh Saraf, Renowned Joint Replacement and Orthopaedic Surgeon....

POSAC 2017|Dr. Saraf's Joints Clinic|Karve Road ,Pune

Paper presentation at POSAC 2017 by Dr. Saraf

POSAC 2017 , held from 31st March to 2nd April. "Learn Through Cases-Intra Articular Fracture Reconstruction". Live surgeries, Interactive discussion,...

 Knee Implant |Dr. Saraf's Joints Clinic|Karve Road ,Pune

The Right Knee Implant Makes All The Difference

Women juggle between many roles at home and in the work place, with an incessant spirit of optimism and confidence. But as is of optimism and confiden...

Role of teriparatide in fracture healing

Role of teriparatide in fracture healing

Happy to share my publication in International Journal of Orthopaedics Role of teriparatide in fracture healing: A prospective studyAuthor(s): Dr. Hr...

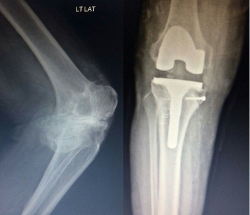
Pre and Post operation X-rays|Dr. Saraf's Joints Clinic|Karve Road ,Pune

Outstanding outcomes of Bilateral Knee Replacement Surgery

65 year male patient with severe varus and flexion deformity in both knee,Knee society score -0 was severely disabled. Underwent a bilateral knee repl...

Pune Hip Course 2017|Dr. Saraf's Joints Clinic|Karve Road ,Pune

PUNE HIP COURSE PHC 2017

Greetings from the office of Pune Orthopaedic Society,  It gives us immense pleasure & pride to co-ordially invite you to the second "Pune Hip Co...

?
Ask Question
AboutMyClinic
SmartSite created on AboutMyClinic.com
Site-Help | Disclaimer